不整脈 (Arrhythmia)

[徐脈性不整脈]

(房室ブロックなど)

徐脈性不整脈とは

心拍数が毎分50回を下回る徐脈で、代表的な疾患は房室ブロックと洞不全症候群です。息切れ、疲労感、ふらつき、および失神などの症状が現れた場合は治療が必要になります。

徐脈性不整脈に対する治療

多くの場合はペースメーカ植込が必要です。

  • 当院ではペースメーカ植込手術までの待機期間短縮を心がけております。症状が進行してから、植込までの期間が長いと、心不全が進行したり、特に高齢者では臥床のため筋力や認知機能が低下する恐れがあります。条件にもよりますが、当院では緊急入院当日に恒久的ペースメーカ植込を行うこともあります。
  • 年齢、基礎疾患、感染リスクなど状態に応じてリードレスペースメーカをご提案しております。
  • 心機能が低下している場合は、通常の心室ペーシングが心不全の増悪要因になり得るケースに対し、刺激伝導系ペーシング(Conduction System Pacing: CSP)を施行しています。
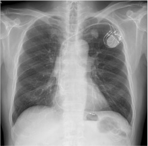
ペースメーカ植込後(X線写真)

遠隔機能付きデバイス

当院ではペースメーカなどのデバイス治療に精通した「デバイスナース」が常勤しています。遠隔機能付きのペースメーカを植え込んだ患者様に対し、デバイスナースが月に1回デバイスの遠隔点検を行い、さらに電話などで患者様の体調を伺い、異常の早期発見、早期治療介入ができる取り組みを行っております。